Lesson Plan

SHOW ALL

June 1, 2022, 2:07 p.m.

6 things for students to know about monkeypox

Germany detects first case of monkeypox
Head of the Institute of Microbiology of the German Armed Forces Roman Woelfel works in his laboraty in Munich, May 20, 2022, after Germany has detected its first case of monkeypox. REUTERS/Christine Uyanik

Head of the Institute of Microbiology of the German Armed Forces Roman Woelfel works in his laboraty in Munich, May 20, 2022, after Germany has detected its first case of monkeypox. REUTERS/Christine Uyanik

What is monkeypox?

“Monkeypox” may sound scary, but is it? With the public on alert after years of the coronavirus pandemic, there may understandably be heightened interest in a potentially new virus, but unlike COVID-19, monkeypox has been studied for decades and important information is already available.

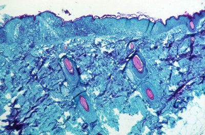
A section of skin tissue, harvested from a lesion on the skin of a monkey, that had been infected with monkeypox virus
A section of skin tissue, harvested from a lesion on the skin of a monkey, that had been infected with monkeypox virus, is seen at 50X magnification on day four of rash development in 1968. CDC/Handout via REUTERS. THIS IMAGE HAS BEEN SUPPLIED BY A THIRD PARTY. IT IS DISTRIBUTED, EXACTLY AS RECEIVED BY REUTERS, AS A SERVICE TO CLIENTS

A section of skin tissue, harvested from a lesion on the skin of a monkey, that had been infected with monkeypox virus, is seen at 50X magnification on day four of rash development in 1968. CDC/Handout via REUTERS.

These are not the first cases of monkeypox.

According to the CDC, monkeypox, related to smallpox, was first identified in a monkey in a Danish laboratory in 1958.The first human case was identified in the Democratic Republic of the Congo in 1970. Small outbreaks have been recorded in the U.S. before, including in six states in 2003 that authorities attributed to spread among prairie dog owners. Authorities believed the prairie dogs had been in contact with a shipment of small mammals from Africa into Texas.

The symptoms of Monkeypox typically are fever, chills, rash and lesions on the face or genitals that can sometimes lead to scarring.

Monkeypox and smallpox both belong to the orthopoxvirus genus of viruses. Smallpox was a deadly disease that plagued humans for millennia but was eradicated everywhere outside of laboratories in the 1980s.

Monkeypox can be spread through close contact with an infected person or their clothing or bedsheets, but sexual transmission has not yet been documented.

It is believed that monkeypox spreads through prolonged close contact. It may spread most easily through contact with an infected person’s body fluid, including large respiratory droplets (COVID is transmitted through smaller aerosol droplets, which can linger in the air).

Dr. David Heymann, who formerly headed WHO’s (World Health Organization) emergencies department, said the recent outbreak of this highly rare virus might be explained by risky sexual behavior at two raves in Europe.

Most people recover from the disease within several weeks without requiring hospitalization.

Though monkeypox may raise fears of becoming another COVID-like pandemic, it does not spread through the air, and there is little evidence the disease could have such a major impact in the U.S., with lower rates of transmission and virulence.

Related: WHO’s top monkeypox expert says disease unlikely to become global pandemic

Vaccines and anti-virals used against smallpox are also effective in preventing monkeypox and some antiviral drugs are being developed.

Because smallpox and monkeypox are closely related, effective treatments are already available for monkeypox.

In recent years, monkeypox has been fatal in up to 6% of infections, but no deaths have been reported among the current cases.

Monkeypox is far less lethal than smallpox and has not resulted in any deaths in the U.S. so far. The current strand of the disease is believed to have a 1% fatality rate, though that rate includes untreated cases. Still, it’s worth staying informed and cautious.


Fill out this form to share your thoughts on Classroom’s resources.

Explainer by Zachary Vogel, a senior at Alexandria City High School in Alexandria, Va., and a rising freshman at Ithaca College, wrote today’s Daily News Lesson with editing by Vic Pasquantonio.

SUPPORTED BY VIEWERS LIKE YOU. ADDITIONAL SUPPORT PROVIDED BY:

Copyright © 2025 News Hour Production LLC. All Rights Reserved

Illustrations by Annamaria Ward